All-On-X Dental Implants in Elroy, WI

A Permanent Smile That Feels Like Your Own

Replace a full arch of missing teeth with a stable, natural-looking solution designed to restore your comfort and confidence. You deserve to eat, speak, and smile without a second thought.
  • Eat all your favorite foods again with complete confidence
  • Wake up every morning with teeth that feel completely natural
  • Smile, laugh, and speak without worrying about slipping
  • Take This 60-Sec Quiz to See If Dental Implants are Right for You!

    Table of Contents
    Table of Contents

    Are These Daily Struggles Holding You Back?

    Living with missing teeth or uncomfortable dentures takes a toll on more than your smile. These challenges can quietly affect your health, your confidence, and the way you live each day.
  • Avoiding foods you love because chewing is painful
  • Hiding your smile in photos and conversations
  • Dealing with dentures that slip, click, or cause soreness
  • Skipping social events because of self-consciousness
  • Watching your jawbone and facial structure change over time
  • Feeling limited in what you can enjoy each day
  • If any of these feel familiar, you are not alone. A permanent solution may be closer than you think.

    The Cost of Putting It Off

  • Accelerating Bone Loss

    Without stimulation, your jawbone continues to deteriorate month after month.

  • More Complex Treatment Later

    Waiting often means additional procedures like bone grafting become necessary.

  • Rising Treatment Costs

    As your condition progresses, restoring your smile becomes more involved and expensive.

  • Fewer Options Available

    Continued bone loss can reduce the treatment choices available to you.

  • Daily Frustrations Compound

    Difficulty eating and speaking comfortably only worsens with time.

  • Confidence Keeps Fading

    The longer you wait, the deeper the impact on your self-esteem and social life.

  • Starting sooner means a simpler path to the smile and comfort you deserve.

    What Are All-On-X Dental Implants?

    All-on-X dental implants are a full-arch tooth replacement system that uses four to six strategically placed titanium posts to support an entire row of new teeth. Unlike traditional dentures that rest on your gums, these implants are anchored directly into your jawbone, creating a secure foundation that functions and feels remarkably close to natural teeth. The titanium posts fuse naturally with your bone through a process called osseointegration (where titanium bonds with jawbone), providing permanent stability without adhesives or clasps.

    At Wojtowicz Dental, we use advanced CBCT imaging and digital treatment planning to map your jawbone structure and determine the ideal placement for each implant. This precision-driven approach to All-on-X dental implants in Elroy ensures a customized result designed for long-term comfort and function.

  • Typically uses four to six implants per arch
  • Titanium posts are biocompatible and designed for permanent integration
  • Over 95% success rate for dental implants according to the ADA
  • Transformations That Last

    Watch real patients share how their dental journey restored not just their smiles, but their quality of life. These personal stories capture the relief and joy that come with comprehensive, caring treatment.

    Be our Next Success Story!

    Request an appointment with one of our doctors and start your smile journey today.

    Which All-On-X Option Is Right for You?

    Not every full-arch restoration looks the same. The number of implants placed depends on your jawbone density, oral health, and long-term goals. Understanding the differences between All-on-4 and All-on-6 can help you feel confident about your treatment plan.
    Factor All-On-4 All-On-6
    Number of implants Four per arch Six per arch
    Ideal candidate Patients with moderate bone density Patients with sufficient bone volume
    Stability level Strong and secure Maximum stability and support
    Bone grafting often needed Less likely required May vary depending on bone levels
    Treatment timeline Temporary teeth placed same day Temporary teeth placed same day
    Long-term durability Decades with proper care Decades with proper care
    Key advantage Fewer implants, efficient placement Added support for greater bite force
    Key consideration May not suit severe bone loss cases Slightly longer surgical appointment
    The right option depends on your unique anatomy, health, and goals. We will help you find the ideal fit during your consultation.

    Get Your FREE Dental Implant Pricing Guide + $450 Savings

    Fill Out The Form Below And We Will Email/text You The Guide Along With A $350 Savings Offer!

    In the guide, you’ll learn about:

    Benefits of All-On-X Dental Implants

    Choosing All-on-X dental implants is about more than replacing teeth. It is about imagining a different kind of daily life, one where your smile supports everything you want to do.
  • Eat Without Limits or Worry
  • Smile and Laugh With Full Confidence
  • Speak Clearly and Comfortably
  • Enjoy a Secure, Natural Feel
  • Simplify Your Daily Oral Care
  • Preserve Your Jawbone for Years
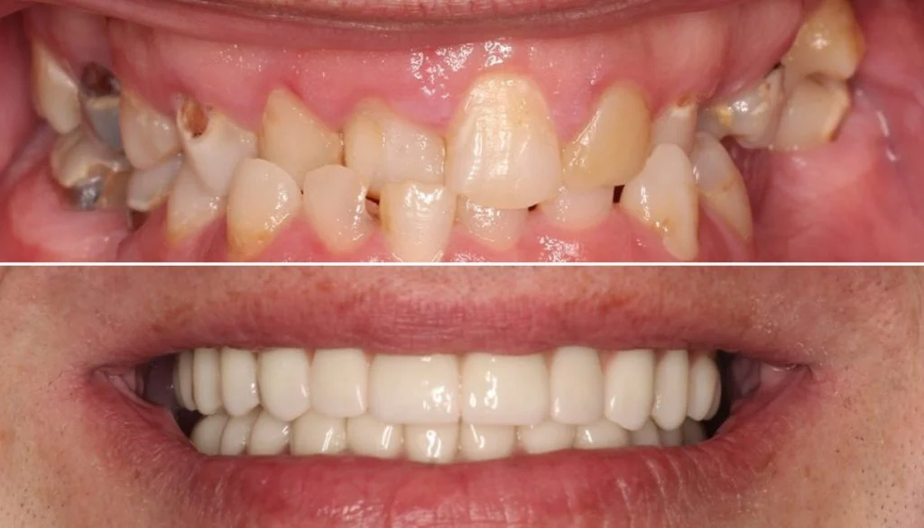
  • See What's Possible for Your Smile

    These aren’t just teeth; they’re life-changing transformations that restore confidence and comfort. Each before-and-after photo represents a patient who trusted us with their smile journey.

    Dental Implants

    Dental Implants

    Be our Next Success Story!

    Request an appointment with one of our doctors and start your smile journey today.

    Could All-On-X Dental Implants Be Right for You?

    Many patients wonder whether they qualify for full-arch dental implants. The good news is that this solution works well for a wide range of people, and candidacy may be broader than you expect. Even if you have been told implants are not an option, advances in technique and technology have expanded who can benefit.
  • Have lost most or all teeth in one or both arches
  • Currently wear dentures that feel loose or uncomfortable
  • Want a fixed, permanent alternative to removable teeth
  • Have been told you may need bone grafting before implants
  • Are ready for a long-term solution that supports your lifestyle
  • Not Sure If You Qualify?

    That is completely normal, and it is exactly what a consultation is for. An evaluation will give you a clear, personalized recommendation about whether All-on-X dental implants are the right fit for your smile and your goals.

    What to Expect During Your All-On-X Treatment

    Many of our patients tell us the process was far more comfortable than they anticipated. We have designed every step with your ease and peace of mind in mind.
    1

    Your Personalized Consultation

    Your treatment begins with a detailed evaluation where we take 3-D CBCT scans to map your jawbone and assess your oral health. You will have time to ask questions, discuss your goals, and review a customized treatment plan. You will leave this appointment with a clear understanding of what to expect, including timeline and cost.

    2

    Preparing for Your New Smile

    If any teeth need to be removed or bone grafting is required, we handle that as part of your plan. We use digital imaging to determine the precise angle and position for each implant, ensuring the most stable and comfortable result. Sedation options are available to keep you relaxed and comfortable throughout.

    3

    Implant Placement Day

    On the day of your procedure, we place four to six titanium implants into your jawbone using guided surgical techniques for accuracy. You will receive a temporary set of teeth before you leave, so you walk out with a functioning smile the same day. Most patients describe the experience as much easier than expected.

    4

    Healing and Integration

    Over the next several months, your implants fuse naturally with your jawbone, creating a permanent foundation. During this time, your temporary teeth allow you to eat, speak, and smile comfortably. We monitor your progress with periodic check-ins to ensure everything is healing well.

    5

    Your Permanent Restoration

    Once your implants have fully integrated, we replace your temporary teeth with a custom-crafted permanent restoration. Using advanced CEREC and digital design technology, your final teeth are shaped, shaded, and fitted to complement your facial features and feel completely natural.

    Ready to Enjoy a Confident, Permanent Smile?

    What to Expect After All-On-X Treatment

    Most patients are pleasantly surprised by how manageable recovery feels. While your mouth needs time to heal, our team supports you at every stage with clear guidance and direct access to our office.

    First 24-48 Hours

    Some mild swelling and discomfort are completely normal during the first day or two. Rest, apply a cold compress to your cheeks as needed, and stick to soft, cool foods. Over-the-counter pain relief and any prescribed medication will keep you comfortable. Your temporary teeth are in place, so you will not be without a smile.

    First 1-2 Weeks

    Swelling gradually decreases and you will start feeling noticeably better each day. Continue eating softer foods and avoid hard or crunchy items while your implant sites heal. Most patients return to their normal routines within a few days, and many are pleasantly surprised at how quickly they adjust.

    Long-Term Healing

    Over the following months, your implants fuse with your jawbone, building a permanent foundation. You can eat, speak, and smile with your temporary teeth during this time. Periodic check-ins at our office help us monitor your progress and ensure everything is on track for your final restoration.

    Every patient heals at their own pace, and that is perfectly normal. We provide a personalized aftercare plan with detailed instructions and encourage you to contact our team anytime with questions or concerns.

    Have Questions About Recovery? We are here to help.

    All-On-X Implants vs. Implant-Supported Dentures vs. Traditional Dentures

    When it comes to replacing a full arch of teeth, you have several options to consider. Each offers different advantages depending on your lifestyle, oral health, and long-term goals.
    Factor All-On-X Dental Implants Implant-Supported Dentures Traditional Dentures
    Stability Permanently fixed in place Secure snap-in attachment Rests on gums, may shift
    Bone preservation Stimulates jawbone, prevents loss Partial bone stimulation No bone preservation
    Chewing ability Full function, similar to natural teeth Strong, improved over traditional Limited, some food restrictions
    Removability Fixed; only removed by dentist Removable for cleaning Fully removable
    Maintenance Brush and floss like natural teeth Daily removal and cleaning Adhesives, soaking, adjustments
    Comfort level Feels like natural teeth More stable than traditional May cause sore spots or slipping
    Appearance Custom-crafted, natural aesthetics Natural-looking restoration May appear less natural over time
    Longevity Decades with proper care 10-15 years with maintenance 5-10 years, periodic replacement
    Initial investment Higher upfront Moderate Lower upfront cost
    Long-term value Excellent; minimal ongoing costs Good; periodic maintenance needed Ongoing costs add up over time
    All-on-X dental implants offer the most stable, long-lasting, and natural-feeling option for full-arch tooth replacement. However, implant-supported dentures or traditional dentures may be a better fit depending on your health, budget, or personal preference. We are happy to walk you through your options during a consultation.

    Flexible Payment Plans for Your Smile

    We believe everyone deserves quality dental care, regardless of budget. Our flexible financing options and in-house payment plans help you get the treatment you need with comfortable monthly payments that work for your situation.
    CareCredit healthcare credit card offers promotional financing for dental care at over 260,000 providers nationwide with reusable credit.

    NO Credit Score Impact Until Plan Selected.

    Proceed Finance specializes in extended dental financing up to 144 months, making even major treatments affordable with low monthly payments.

    NO Credit Score Impact Until Plan Selected.

    Don't Wait to Smile. Check out Our Payment Options.

    All-On-X Dental Implant FAQs

    We understand that choosing a full-arch tooth replacement is a significant decision, and you probably have plenty of questions. Here are the answers to some of the most common things patients ask about All-on-X dental implants in Elroy.

    What is the difference between All-on-4 and All-on-6 implants?

    All-on-4 uses four implants per arch while All-on-6 uses six for additional support. The right choice depends on your bone density, bite force needs, and overall oral health. During your consultation, we will recommend the option that fits your situation.
    From your first consultation to your permanent restoration, the full timeline is typically six to nine months. You will receive temporary teeth on the day of your implant placement, so you will never be without a functioning smile during the healing period.
    Comfort is a top priority throughout your treatment. We use local anesthesia and offer nitrous oxide sedation to keep you relaxed and at ease. Most patients describe feeling pressure but no sharp discomfort during the placement appointment.
    Once your permanent restoration is placed, you can enjoy virtually all the foods you love, including items that are difficult with traditional dentures. During the healing period, you will start with softer foods and gradually return to your regular diet.
    Caring for your implants is straightforward. Brush twice daily, floss with tools recommended by your dental team, and attend regular checkups. There are no adhesives, soaking solutions, or special routines required.
    Age alone does not determine candidacy. What matters most is your overall health, jawbone density, and commitment to aftercare. Many patients in their 60s, 70s, and beyond are excellent candidates for this treatment.
    Bone grafting can rebuild your jawbone structure to support implants. At our office, we perform bone grafting and implant placement from start to finish, so you will not need a referral to a specialist.
    The titanium implant posts can last decades with proper care and regular dental visits. Your custom restoration may need maintenance or replacement over time depending on normal wear, but the foundation is designed for long-term durability.
    Absolutely. Your permanent restoration is custom-designed to match your facial features, skin tone, and desired appearance. Most people will not be able to tell the difference between your implant teeth and natural ones.
    Traditional dentures sit on your gums and rely on adhesives for stability, while All-on-X implants are permanently anchored into your jawbone. This means no slipping, no adhesives, better chewing ability, and preservation of your jawbone health over time.

    Still Have Questions?​

    Can't find what you're looking for? Don't worry, we are here to help! Reach out to us and we would love to assist you personally.

    Meet the Doctor

    Your Trusted Dental Care Expert

    We combine scientific expertise with genuine compassion, treating each patient like family. We believe quality dental care means advanced technology paired with the personal attention you deserve.
    Dr. Emily Wojtowicz

    DDS

    Dr. Emily Wojtowicz discovered her calling in dentistry’s unique blend of science and personal connection. With a Biomedical Science degree from UW-La Crosse, she initially pursued molecular genetics research before finding her passion in clinical dentistry. Her pivotal moment came while shadowing Dr. Karas, who showed her how dentistry combines surgical precision with meaningful patient relationships. Today, her scientific foundation drives her commitment to continuous learning and advanced techniques, ensuring you receive contemporary, comprehensive care with the compassion she’d extend to her own family.

    Beyond our practice, Dr. Emily and her husband Travis, a physician assistant, have deep community roots, raising sons Wes and Johnny in the restored Wojtowicz family farmhouse that’s sheltered five generations. Their Wisconsin lifestyle includes tending their vegetable garden in summer and transforming their driveway into a hockey rink each winter. This balance of professional excellence and family values shapes how Dr. Emily approaches every patient interaction, bringing genuine care and attention to your dental health journey.

    Be our Next Success Story!

    Experience personalized dental care designed to help you achieve your dream smile.

    Patient Testimonials

    Real Patients Share Their Life-Changing Smile Stories

    Our patients consistently describe feeling welcomed, heard, and genuinely cared for throughout their treatment. From anxious patients who now love their appointments to families whose children look forward to visits, these heartfelt stories reflect the difference personalized care makes.

    Payam GanGaraju

    2 months ago
    I had a great visit at this dental clinic. The reception staff was polite and helpful, and the dentist was incredibly patient and skilled. They made sure I was comfortable during the entire procedure and explained everything clearly. The clinic is clean and well-equipped. I’m very satisfied with the care I received and would gladly recommend them.

    Melissa Tessman

    4 months ago
    Dr Emily and staff have been top notch since I started my implant journey. She walked me through every step and has made the process stress free!

    Chris Wickingson

    4 months ago
    Joel Wickingson, had xrays, cleaning and 6 month checkup this morning and everything was good. Hats off to Deb and the whole staff at Wojtowicz dental. And the Christmas music was awesome

    Kelsey Potter

    4 months ago
    We love Wojtowicz Dental! The staff is so kind. They are wonderful with kids- patient and gentle. Highly recommend!

    Masha Reynolds

    4 months ago
    Dr. Emily and her team are amazing! I couldn’t be happier! They always take the time to explain everything in detail to me and make me feel a part of the family. Their office is very technologically advanced and seems to constantly be growing and learning more! Highly recommend this office!

    Patrick Kelley

    4 months ago
    Amazing experience every time. Great staff, fun environment, and easy going. Makes the dentist not a scary place :)

    Experience the Difference Yourself Today.

    Advanced Dental Technology

    State-of-the-Art Dental Technology

    At Wojtowicz Dental, we invest in leading-edge technology that transforms your dental experience. CEREC same-day crowns eliminate multiple appointments and uncomfortable temporaries. Our CBCT 3-D imaging provides precise diagnostics with minimal radiation exposure. Digital impressions mean no more messy molds. These technologies work together to deliver the comfortable, efficient care you deserve while maintaining our commitment to personalized treatment in Elroy.

    Experience the Future of Dentistry Today

    Visit Our Office

    Your Trusted Dental Home in Rural Wisconsin

    Located in the heart of Elroy, we welcome patients from Wonewoc, Hillsboro, Tomah, Mauston, and beyond with convenient access and hometown hospitality. Our central location makes quality dental care easily accessible for families throughout the region, bringing state-of-the-art treatment to your neighborhood.

    Be our Next Success Story!

    Discover how our innovative implant solutions have transformed lives through the heartfelt testimonials of our satisfied patients.

    Your smile transformation starts here

    It Is Time to Love Your Smile Again With All-On-X Dental Implants

    All-on-X dental implants can restore full function and lasting confidence to your smile. This permanent solution is designed to let you live without compromise.
  • Eat, speak, and laugh without limits
  • Feel secure with a permanent foundation
  • Enjoy natural comfort every single day
  • Take This 60-Sec Quiz to See If Dental Implants are Right for You!

    Call Us Now

    Contact us today and experience the difference of personalized, compassionate dental care.

    Search Our Website

    Search for services, dental procedures, and expert tips from our patient resources.

    Popular searches: Dental Implants, Cleanings, Insurance.

    Download our Dental Implant Pricing & Information Guide

    Fill Out The Form Below And We Will Email/text You The Guide Along With A $450 Savings Offer!

    Sleep Apnea

    [DEMO] Lorem ipsum dolor sit amet, consectetur adipiscing elit, sed do eiusmod tempor incididunt ut labore et dolore magna aliqua.

    Discover the Best Option to Get a Beautiful White Smile

    Fill out This Short Assessment to Discover the Best Option to Get a Beautiful White Smile Along with a Free Consultation!

    Discover Your Orthodontic Options to See Which Is the Best for You

    Fill out This Short Smile Assessment to Discover Which Teeth Straightening Option Is Best for You and Get a Custom Consultation.

    Can Dental Implants Work for You?

    Take This 60-Sec Quiz to See If Dental Implants are Right for You!

    Request an Appointment

    Our dedicated team is here to provide you with personalized attention and exceptional care, tailored to meet your unique dental needs.