Be our Next Success Story!
Meet the Doctor
DDS
Dr. Emily Wojtowicz discovered her calling in dentistry’s unique blend of science and personal connection. With a Biomedical Science degree from UW-La Crosse, she initially pursued molecular genetics research before finding her passion in clinical dentistry. Her pivotal moment came while shadowing Dr. Karas, who showed her how dentistry combines surgical precision with meaningful patient relationships. Today, her scientific foundation drives her commitment to continuous learning and advanced techniques, ensuring you receive contemporary, comprehensive care with the compassion she’d extend to her own family.
Beyond our practice, Dr. Emily and her husband Travis, a physician assistant, have deep community roots, raising sons Wes and Johnny in the restored Wojtowicz family farmhouse that’s sheltered five generations. Their Wisconsin lifestyle includes tending their vegetable garden in summer and transforming their driveway into a hockey rink each winter. This balance of professional excellence and family values shapes how Dr. Emily approaches every patient interaction, bringing genuine care and attention to your dental health journey.
Be our Next Success Story!
Patient Testimonials
Payam GanGaraju
Melissa Tessman
Chris Wickingson
Kelsey Potter
Masha Reynolds
Patrick Kelley
Experience the Difference Yourself Today.
Your Trusted Dental Home in Rural Wisconsin
Be our Next Success Story!
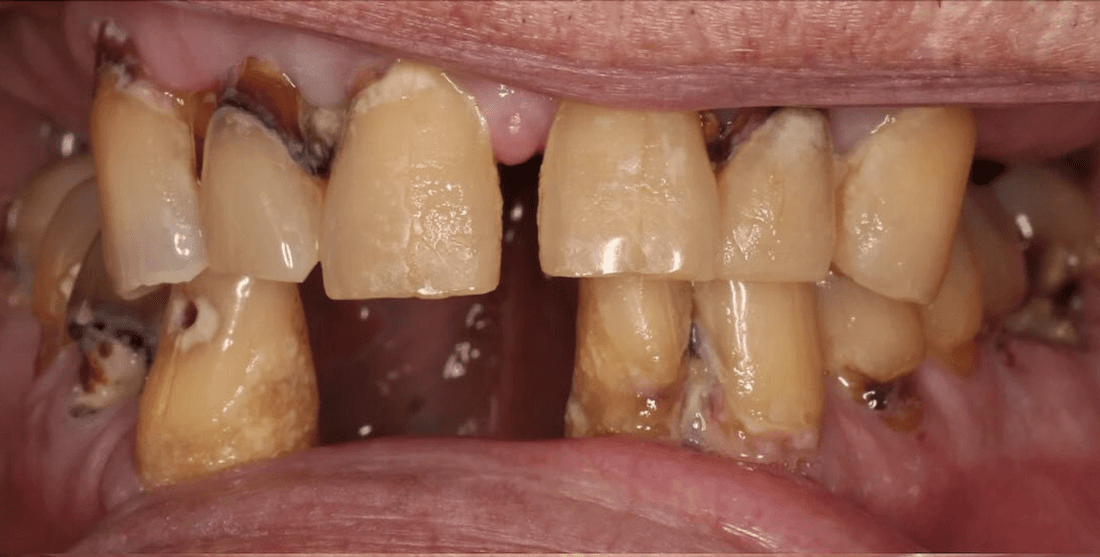
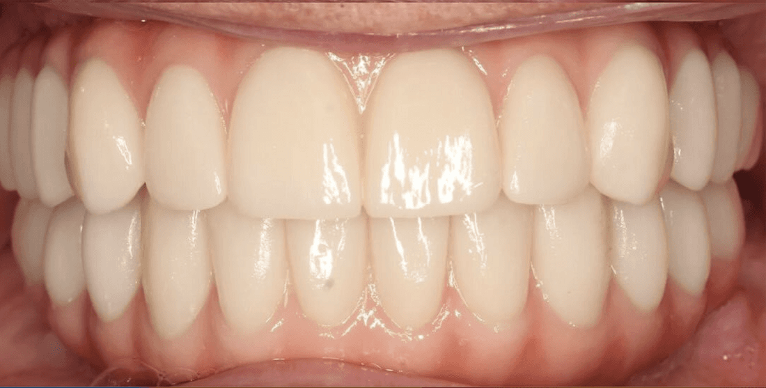
These Transformations Are Possible for You Too
The Confident Smile You See in Others Can Absolutely Be Yours.
Contact us today and experience the difference of personalized, compassionate dental care.
Search for services, dental procedures, and expert tips from our patient resources.
Popular searches: Dental Implants, Cleanings, Insurance.
[DEMO] Lorem ipsum dolor sit amet, consectetur adipiscing elit, sed do eiusmod tempor incididunt ut labore et dolore magna aliqua.
Fill out This Short Smile Assessment to Discover Which Teeth Straightening Option Is Best for You and Get a Custom Consultation.
Our dedicated team is here to provide you with personalized attention and exceptional care, tailored to meet your unique dental needs.