Wojtowicz Dental
Friendly and Affordable Family Dental Care
Wojtowicz Dental
Friendly and Affordable Family Dental Care
Request an Appointment
Like us on Facebook
Leave a Google Review
Instagram
(608) 462-8282
Comprehensive Dental Care
1104 Academy St. Elroy, WI 53929
Home
About
Our Team
Technology
Practice Photos
Services
View All
Emergency Dentistry
Dental Implants
Bone Grafting Services in Elroy, WI
Tooth Extraction
Clear Aligners in Elroy, WI
Full Mouth Reconstruction
All-on-X Implant Dentures in Elroy, WI
Cosmetic Dentistry
General Dentistry
Same-Day Dental Restorations
Full-Arch Dental Implants
Sedation Dentistry
Smile Gallery
Testimonials
Patient Info
View Patient Info
Financial
FAQs
Blog
Contact
Wojtowicz Dental
>
Smile Gallery
>
Implants
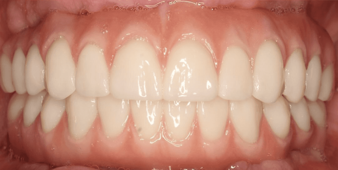
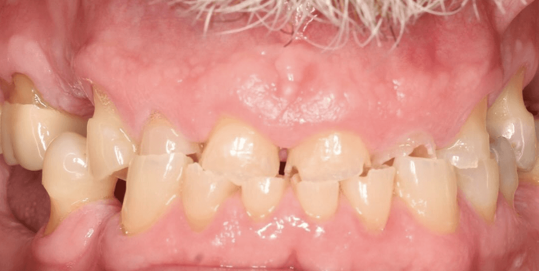
Implants
Return to Smile Gallery
Previous
Next
Related Services:
Dental Implants
Click image to see a larger picture
Before
After
We Warmly Welcome New Patients to Our Practice
Contact Us
If you have difficulty using our website, please
email us
or call us at
(608) 462-8282
View the
ADA Accessibility Statement
Turn on ADA Views
Privacy Policy
OK!
×
×
Contact Us Today
Give Us A Call
Wojtowicz Dental -
(608) 462-8282
Send Us an Email
Request an Appointment
Contact Us
Ready to Schedule an Appointment?
Book Online
Have Questions? Contact Us:
Required Field
Your Name:
Phone:
Email:
Are you a new patient?:
Are you a?
New Patient
Current Patient
How would you like us to contact you?
Please choose
Email
Call
How did you hear about us?
Please choose
I'm an existing patient
Google/Bing
Mailer
Word of mouth
Social media
Other
Who Referred You?:
Appointment Preferences
Monday
Tuesday
Wednesday
Thursday
Friday
Your Message:
This site is protected by reCAPTCHA and the Google
Privacy Policy
and
Terms of Service
apply.
Sending...
×
This Patient's Experience
Loading Testimonial...
Loading Case...