Smile Gallery

See the Beautiful Smiles We've Helped Create

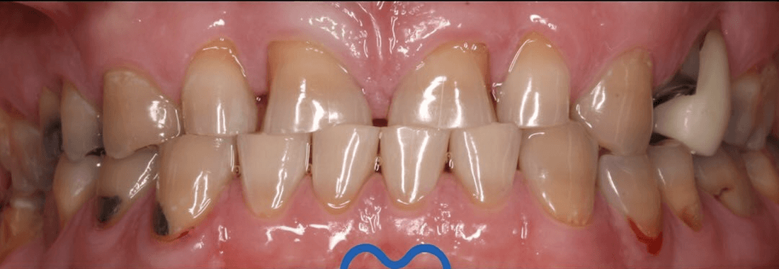
These are real results from real patients who trusted us with their dental care. Each transformation represents improved confidence and better oral health. Browse our before-and-after photos to see the range of treatments we offer and what might be possible for you.
Smile Gallery Category Filter

Be our Next Success Story!

Take this 60-Second Quiz to Start Your Dental Journey.

Meet the Doctor

Your Trusted Dental Care Expert

We combine scientific expertise with genuine compassion, treating each patient like family. We believe quality dental care means advanced technology paired with the personal attention you deserve.
Dr. Emily Wojtowicz

DDS

Dr. Emily Wojtowicz discovered her calling in dentistry’s unique blend of science and personal connection. With a Biomedical Science degree from UW-La Crosse, she initially pursued molecular genetics research before finding her passion in clinical dentistry. Her pivotal moment came while shadowing Dr. Karas, who showed her how dentistry combines surgical precision with meaningful patient relationships. Today, her scientific foundation drives her commitment to continuous learning and advanced techniques, ensuring you receive contemporary, comprehensive care with the compassion she’d extend to her own family.

Beyond our practice, Dr. Emily and her husband Travis, a physician assistant, have deep community roots, raising sons Wes and Johnny in the restored Wojtowicz family farmhouse that’s sheltered five generations. Their Wisconsin lifestyle includes tending their vegetable garden in summer and transforming their driveway into a hockey rink each winter. This balance of professional excellence and family values shapes how Dr. Emily approaches every patient interaction, bringing genuine care and attention to your dental health journey.

Be our Next Success Story!

Experience personalized dental care designed to help you achieve your dream smile.

Patient Testimonials

Real Patients Share Their Life-Changing Smile Stories

Our patients consistently describe feeling welcomed, heard, and genuinely cared for throughout their treatment. From anxious patients who now love their appointments to families whose children look forward to visits, these heartfelt stories reflect the difference personalized care makes.

Payam GanGaraju

1 month ago
I had a great visit at this dental clinic. The reception staff was polite and helpful, and the dentist was incredibly patient and skilled. They made sure I was comfortable during the entire procedure and explained everything clearly. The clinic is clean and well-equipped. I’m very satisfied with the care I received and would gladly recommend them.

Melissa Tessman

4 months ago
Dr Emily and staff have been top notch since I started my implant journey. She walked me through every step and has made the process stress free!

Chris Wickingson

4 months ago
Joel Wickingson, had xrays, cleaning and 6 month checkup this morning and everything was good. Hats off to Deb and the whole staff at Wojtowicz dental. And the Christmas music was awesome

Kelsey Potter

4 months ago
We love Wojtowicz Dental! The staff is so kind. They are wonderful with kids- patient and gentle. Highly recommend!

Masha Reynolds

4 months ago
Dr. Emily and her team are amazing! I couldn’t be happier! They always take the time to explain everything in detail to me and make me feel a part of the family. Their office is very technologically advanced and seems to constantly be growing and learning more! Highly recommend this office!

Patrick Kelley

4 months ago
Amazing experience every time. Great staff, fun environment, and easy going. Makes the dentist not a scary place 🙂

Experience the Difference Yourself Today.

Visit Our Office

Your Trusted Dental Home in Rural Wisconsin

Located in the heart of Elroy, we welcome patients from Wonewoc, Hillsboro, Tomah, Mauston, and beyond with convenient access and hometown hospitality. Our central location makes quality dental care easily accessible for families throughout the region, bringing state-of-the-art treatment to your neighborhood.

Be our Next Success Story!

Discover how our innovative implant solutions have transformed lives through the heartfelt testimonials of our satisfied patients.

Your smile could be next

These Transformations Are Possible for You Too

Every before and after you’ve seen represents someone who simply took the first step. They started right where you are now, curious and hopeful. The beautiful smile you’ve been imagining is closer than you think.

The Confident Smile You See in Others Can Absolutely Be Yours.

Call Us Now

Contact us today and experience the difference of personalized, compassionate dental care.

Search Our Website

Search for services, dental procedures, and expert tips from our patient resources.

Popular searches: Dental Implants, Cleanings, Insurance.

Sleep Apnea

[DEMO] Lorem ipsum dolor sit amet, consectetur adipiscing elit, sed do eiusmod tempor incididunt ut labore et dolore magna aliqua.

Discover the Best Option to Get a Beautiful White Smile

Fill out This Short Assessment to Discover the Best Option to Get a Beautiful White Smile Along with a Free Consultation!

Discover Your Orthodontic Options to See Which Is the Best for You

Fill out This Short Smile Assessment to Discover Which Teeth Straightening Option Is Best for You and Get a Custom Consultation.

Can Dental Implants Work for You?

Take This 60-Sec Quiz to See If Dental Implants are Right for You!

Request an Appointment

Our dedicated team is here to provide you with personalized attention and exceptional care, tailored to meet your unique dental needs.