Full Mouth Reconstruction
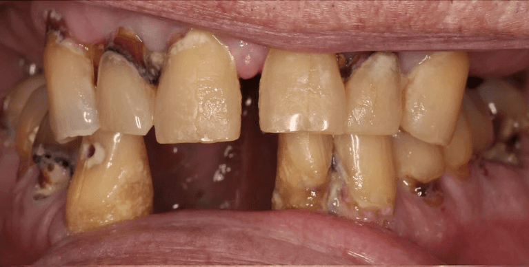
Are damaged, decayed, or missing teeth impacting your smile and dental health? When several tooth concerns affect your smile and confidence, the situation can start to feel hopeless.
But you should know that modern dentistry offers solutions for whatever you may be dealing with, and your team at Wojtowicz Dental can help! Dr. Emily has helped hundreds of patients regain their smiles and improve their dental health, and she can help you, too.
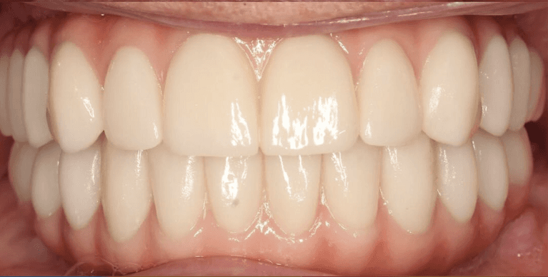
The first step is assessing your situation and creating a plan for your full-mouth reconstruction in Elroy, WI. This comprehensive treatment plan addresses your smile's function, health, and aesthetics so you can chew and eat with ease again and feel confident about smiling.
A full-mouth reconstruction plan focuses on restoring complete function and desired aesthetics to teeth, significantly improving quality of life. Many of our patients say their full-mouth rehabilitation was life-changing.
Your comprehensive full mouth treatment plan typically combines several services we can often break into phases to fit your schedule and budget better. Some of the services Dr. Emily may recommend could include:
- Tooth-colored fillings
- Porcelain crowns, veneers, and bridges
- Root canal treatment
- Tooth extraction
- Dental implants
- All-on-x implant dentures
- Clear aligners with Invisalign®

The Advantages of a Healthy, Beautiful Smile
Considering full mouth reconstruction is a big decision and commitment, but the benefits of having a healthy, functioning smile you’re proud of is also a priceless gift. Here’s why it might be the right choice for you.
Oral Health
Your oral health is closely linked with your overall well-being. A smile in good repair is easier to brush and floss and improves dental health.
Restored Function
Remember going to a restaurant and ordering whatever you liked? You’ll be able to chew and eat comfortably after restoring your teeth.
Enhanced Appearance
Your smile is one of the first features people notice when they meet you. A beautiful smile helps you make a good first impression.
Confidence Boost
The confidence you feel when you share your beautiful smile could open doors to your personal and professional goals.
Prevents Damage
When your teeth are functioning correctly and in good repair, it protects them from wear or other harm.
Stops Discomfort
You may experience pain or discomfort when chewing or eating; restoring your teeth will help eliminate it.
Dr. Emily and her staff go above and beyond my expectations.
I absolutely recommend Wojtowicz Dental. Dr. Emily and her staff go above and beyond my expectations. Everyone makes you feel so welcome. They greet you by your name at the door, listen to your concerns and do a great job of making you feel comfortable during your visit. We are very fortunate to have a dental office that offers "big city" services in our small town!
Contact Wojtowicz Dental
If you’re interested in discussing what’s possible for your smile, scheduling an evaluation with Dr. Emily for treatment planning is the first step. After your consultation, you’ll clearly understand your options, treatment timeline, and out-of-pocket costs to make the best decision for your smile and dental health.
You can request an appointment at our Elroy dental office online or by calling (608) 462-8282 to speak with a team member.
Frequently Asked Questions
Planning Full Mouth Reconstruction in Elroy
- Dental implants
- Crowns or bridges
- Veneers
- Bone grafting
- Gum treatments
- Orthodontic interventions, like clear aligners
Meet Our Dentist:
Dr. Emily Wojtowicz
Full Mouth Reconstruction Technology
Digital Impressions
Digital impressions at Wojtowicz Dental represent the leading-edge evolution of traditional dental molds. Our dentists use advanced 3-D scanning technology to capture precise, comfortable images of your teeth without messy impression materials.
This digital approach means faster, more accurate dental restorations like crowns and bridges. Patients enjoy a more comfortable experience, reduced chair time, and exceptional precision that helps us craft perfectly fitted dental solutions tailored specifically to your unique smile.